Tierärzte an der Fuhle • Kompetenz auf 500m² • Dr. med. vet. Gervers • Fuhlsbüttler Str. 344, 22307 Hamburg
Ein Kreuzbandriss ist eine der häufigsten orthopädischen Verletzungen beim Hund – vor allem bei mittelgroßen bis großen Rassen. Besonders betroffen sind aktive Hunde, aber auch übergewichtige Tiere haben ein erhöhtes Risiko.
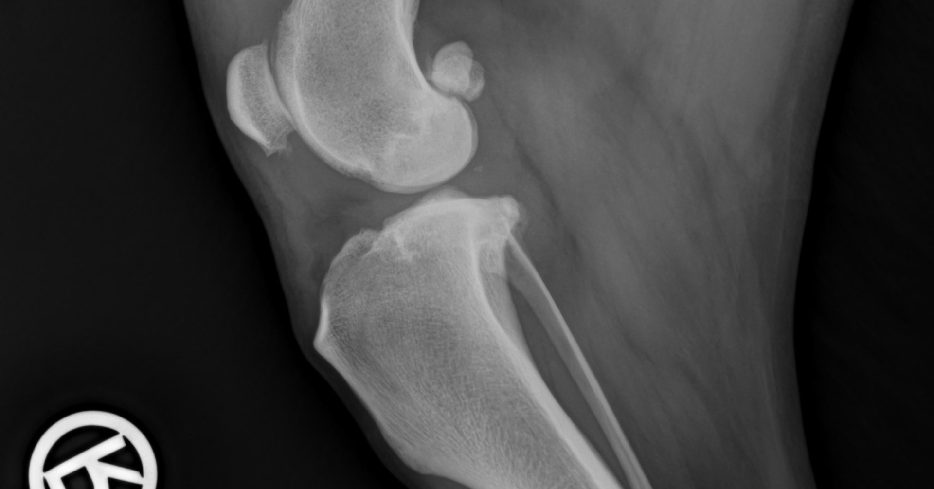
Was ist ein Kreuzbandriss?
Im Kniegelenk befinden sich zwei Kreuzbänder, die das Gelenk stabilisieren. Reißt eines davon – meist das vordere Kreuzband –, führt das zu einer plötzlichen oder schleichenden Lahmheit. Typisch: Der Hund schont das betroffene Bein, setzt es nur kurz auf oder entlastet es vollständig.
Ursachen:
Ein Kreuzbandriss kann durch ein plötzliches Trauma (z. B. beim Spielen oder Springen) entstehen, oft aber auch durch chronische Überlastung oder altersbedingten Verschleiß.
Behandlung:
In den meisten Fällen ist ein chirurgischer Eingriff notwendig, um die Stabilität des Gelenks wiederherzustellen. Je nach Größe und Aktivitätsniveau des Hundes kommen unterschiedliche OP-Methoden zum Einsatz. Eine konservative Behandlung ist nur in seltenen Fällen sinnvoll.
Wichtig:
Frühzeitige Diagnose und Therapie verbessern die Heilungschancen erheblich. Nach der OP folgt eine kontrollierte Reha-Phase mit Physiotherapie und gezieltem Muskelaufbau.
Fazit:
Ein Kreuzbandriss ist kein Grund zur Sorge – mit der richtigen Behandlung kann Ihr Hund wieder schmerzfrei und aktiv durchs Leben gehen. Bei Verdacht auf einen Kreuzbandriss sprechen Sie uns gern an – wir beraten Sie individuell und kompetent.